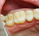
Dank neuester Entwicklungen von Werkstoffen können wir Ihnen Zahnfüllungen anbieten, die zum einen besonders hochwertig und zum anderen langlebig sind – ganz ohne Amalgam.
Eine solche Compositefüllung besteht vorwiegend aus plastischem Kunststoff, in welchen Nanopartikel und größere Keramikkörper integriert sind. Kunststoffe verlieren gewöhnlich an Volumen und schrumpfen. Jedoch wirken eine spezielle Schichttechnik und ein hochwertiger Zwei-Komponenten-Kleber dieser Schrumpfung entgegen, so dass die Composite-Füllung ihre Form behält.
Composite-Füllungen zeichnen sich durch ihre Körperverträglichkeit, Stabilität und die ansprechende Ästhetik aus. Auch haben sie ein gutes Preis-Leistungs-Verhältnis (40 bis 60 €). Diese Vorteile machen das Material zu einem unverzichtbaren Werkstoff in der Zahnmedizin.
Zuzahlungen für Füllungen einflächig 45 €. Zweiflächig 55 €, ab dreiflächig 65 €





